Smile design
Every smile is as unique as the individual is. There is no one-size-fits-all approach to creating a beautiful, healthy smile.
Creating the perfect smile requires a careful, thoughtful approach.
Dr. Young is highly trained and will take the necessary time to discuss your individual options to create the smile you've always wanted!
Ceramic crowns
A crown covers the tooth for various reasons:
New ceramic materials provide the strength of a full metal crown, with the appearance of a natural tooth. Watch this video to see how old crowns compare to new materials. If you've ever had a broken crown, talk to Dr. Young about the possibilities of that never happening again.
Dr. Young warrants his ceramic restorations against breakage for 15 years. If your dentist doesn't warranty your crowns, give us a call.
Composite fillings
Composite, or white fillings, have been used in dentistry for several decades. This material involves an organic resin mixed with an inorganic filler to give it strength.





Gum disease
Periodontal, or gum disease, is an infection of the gums and bone that surround teeth and is the leading cause of adult tooth loss.
What causes periodontal disease?
The sticky film of food and bacteria that forms on your teeth is called plaque. If the plaque is not removed adequately, it begins to calcify and become hard. This is known as calculus, or tartar, and cannot be removed by simple brushing or flossing. The bacteria in plaque and tartar produce toxins, and combined with your body's reaction to them, destroys the bone around your teeth. This compromises the support of teeth and can lead to not only dental problems, but overall health problems.
Warning signs:
Root canal treatment
Advances in the field of root canals have led to effective, consistent, and predictable results.
Why do people need them?
Treating a tooth with a root canal involves removing and shaping the inner portion of a tooth, cleaning and disinfecting the root canal spaces, and filling the roots.
Successful treatment of a complicated molar with four canals by Dr. Young

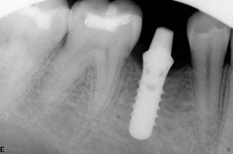
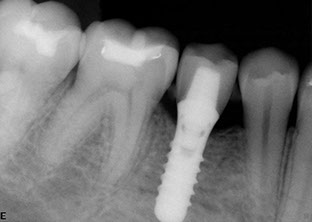
Dental implants
Dental implants have been used for decades to provide a stable support for missing teeth. Implants can be used to stabilize dentures, act as anchors for a bridge, or replace single teeth that are missing.
Implants are designed to be incorporated into the structure of the jawbone. A crown is then attached to the implant to function as a normal tooth. In most cases, implants take several months from placement to the final restoration(s). There is a period of healing while the implant becomes part of the body and stabilizes.



Dentures
When someone has lost some or all of their teeth due to disease or injury, restoring the most natural feel and function is critical to one's well being.
If you or someone you know has a denture that is worn, mis-shaped or loose, please contact us for a consultation. You will love what stable, proper-fitting dentures can do for your health!
Teeth whitening
We utilize the Zoom! whitening process for quick whitening results. We typically see an increase in lightness of about eight shades during an in-office whitening procedure.
We also provide you with custom-made trays (for future touch-ups) and a mini whitening kit to enhance the whitening process.
Professional teeth whitening does not harm or weaken the teeth. Some people have mild sensitivity for a few hours after the process.
Teeth continue to yellow with age, but the effects are long lasting. Annual touch-ups at home (20 min/day for a few days) are a simple way of maintaining your white smile.
Whitening your teeth at home with professional products is also an effective way to achieve great results.














Cleaning and checkups
Proper oral hygiene can only be maintained through regular, professional cleanings and checkups. An ounce of prevention really does go a long way in preventing unwanted dental problems. Let us help you maintain a happy, healthy smile!
Sedation dentistry
For some people, dental work is a very stressful event. Even to the point that they put off much needed treatment, suffering for long periods of time with infection and pain. Dr. Young offers several options to make your experience much more relaxing. We offer Nitrous Oxide, oral sedation, and IV sedation for those most fearful of dental treatment.
Please contact us if you have any questions or concerns.
Invisalign
Do you have crooked or crowded teeth but the thought of braces and wires keeps you from having a straight smile?
Did you have braces as a teenager but your teeth have moved and they're no longer straight?
Dr. Young uses clear aligners to straighten teeth. Through a series of removable aligners, we can rapidly correct teeth that have moved and restore your straight smile.
Contact us for an evaluation to determine if this technology will work for you.

